Dream Team

A team of Edinburgh alumni and current staff are leading the way in the development of fertility preservation procedures for young cancer patients.

Cancer affects around one in 800 children, around 70% of whom now survive long-term following treatment. A high proportion of these young cancer survivors are at risk of infertility. Currently fertility preservation options are limited for many young patients but a group of Edinburgh clinicians and scientists are working to change this.

Mix and match

Edinburgh graduates Dr Rod Mitchell, Professor Norah Spears, Professor Richard Anderson and Professor Evelyn Telfer comprise 80% of the Edinburgh Fertility Preservation founding team. Along with Professor Hamish Wallace their varied professional backgrounds, ranging from medicine and ecological sciences, to testicular and ovarian development research, combine to fulfil both clinical and scientific roles in the field of fertility preservation.

Dr Rod Mitchell removing a rack of clinical human tissue from the liquid nitrogen cryostorage tank.
Dr Rod Mitchell removing a rack of clinical human tissue from the liquid nitrogen cryostorage tank.

It was the prospect of this kind of collaboration that was a major factor in both Richard and Evelyn’s decision to study at Edinburgh, whilst the compelling nature of the research itself led Dr Rod Mitchell to abandon his original intention to return to full-time clinical work in favour of becoming part of the team.

Frosty the lamb

Today fertility preservation is recognised as an important subspecialty of reproductive medicine with roots going back to the work of Professor Roger Gosden and colleagues at the University of Edinburgh in the 1990s.

The birth of Frosty the lamb in 1994 was the result of work proving that ovarian tissue could be removed from sheep, frozen (cryopreserved) and transplanted back to restore fertility. A decade later in Brussels, the transplantation of human ovarian tissue and subsequent live birth can be traced directly back to this early work in Edinburgh.

Unique in the UK

The cryopreservation of tissue from patients is a major component of fertility preservation process and Edinburgh is the only UK centre with ethical approval to freeze testis biopsies for prepubertal boys prior to cancer treatment. For young females, cryopreserving ovarian biopsies enables the possibility of ovary transplantation should she become infertile. This stored tissue will be available to restore fertility in these patients in the future.

In addition to the preserving process itself, Evelyn, Rod, Richard, Norah and colleagues are working hard to better understand the effects of cancer therapies on the ovary and testis with the aim of developing strategies to preserve fertility in patients in the future.

The team’s research into strategies to transplant tissue back into patients post treatment is progressing well, and the excitement, enthusiasm and commitment first experienced during their student days continues to drive them today

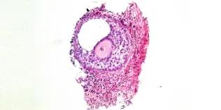
An in vitro grown human ovarian follicle from Professor Evelyn Telfer's lab
An in vitro grown human ovarian follicle from Professor Evelyn Telfer's lab which has been grown from the most immature stage.

This unique collaboration of University of Edinburgh clinicians and scientists provide the foundations for clinical research that may ultimately protect fertility in childhood cancer survivors.